|
GESTATIONAL
TROPHOBLASTIC
NEOPLASIA
(GTN)
Benign
GTN
Complete
Hydatidiform
Mole:
The
most
benign
form
GTN
is
the
hydatidiform
mole.The
diagnosis
of
GTN
is
greatly
facilitated
by
ultrasonography.
Diagnosis
in
First
Trimester:
The
entire
uterine
cavity
appears
filled
with
more
or
less
refringent
masses
and,
almost
always,
a
total
absence
of
fetal
signs.
There
is
a
sonographic
appearance
which
is
described
as
"snowflakes",
"television
interference",
"honeycomb"
or
"spicule-like
radiation".
The
echoes
correspond
to
the
sonic
reflections
on
the
surface
of
the
vesicles.
Since
the
vesicles
are
small,
the
reflection
surface
is
scanty
and
the
echoes
that
appear
are
small
and
intense.
Until
the
8th
or
9th
week,
the
vesicles
are
no
larger
than
2mm.
Therefore
at
the
beginning
of
the
pregnancy
the
vesicles
can
be
missed.
The
application
of
vaginal
ultrasonography
permits
an
earlier
diagnosis.
Diagnosis
in
Second
Trimester:
The
sonographic
findings
of
hydatidiform
mole
are
distinctive
and
characteristic.
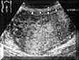
The
enlarged
uterus
is
filled
with
echogenic
material,
with
numerous
sonolucent
vesicles
of
various
size
interspersed
within
it
(Picture1).
The
size
of
the
vesicles
generally
depends
on
the
gestational
stage.
During
the
second
trimester
the
vesicles
reach
a
diameter
of
10mm
(during
the
18th
week)
or
more.
Areas
of
hemorrhage
may
be
visible.
Hematomas
occur
in
areas
of
molar
detachment.
These
accumulations
of
blood
form
small
echogenic
areas
that
have
irregular
borders,
either
inside
the
mole
or,
more
frequently,
along
the
uterine
wall.
Bilateral
ovarian
theca
lutein
cysts
are
evident
in
approximately
20
percent
of
cases.
Visualization
of
bilateral
lutein
cysts
is
useful
for
narrowing
the
differential
diagnosis.

Picture1.
Complete
hydatidiform
mole
in
second
trimester.
Theca-lutein
cysts
are
the
ovarian
response
to
excess
human
chorionic
gonadotropin
(hCG)
secretion
by
GTNs.
These
cysts
are
formed
by
large
follicles
that
are
full
of
liquid
and
have
smooth
walls,
and
that
partially
or
totally
occupy
the
ovaries
(Picture2).
Although
they
may
be
unilateral,
it
is
more
common
to
find
them
bilaterally.
Theca-lutein
cysts
appear
only
with
total
hydatidiform
moles,
and
they
may
persist
in
postmolar
disease.

Picture2.
Theca-lutein
cysts.
Approximately
2
percent
of
all
molar
pregnancies
have
a
coexisting
fetus
although
such
a
fetus
is
seldom
alive.
Partial
Hydatidiform
Mole:
Sonographic
patterns
to
diagnose:
1-
The
presence
of
molar
tissue
together
with
an
embryo,
2-
the
presence
of
excessively
large
placenta
containing
small
cystic
areas,
3-
the
presence
of
a
large
gestational
sac
with
poorly
defined
inner
limits
that
are
surrounded
by
a
strongly
refringent
ring.
When
a
pregnancy
is
more
than
12
weeks
and
the
fetus
is
intact,
it
is
not
difficult
to
diagnose
a
partial
mole
because
the
typical
"snowflake"
picture
is
seen
in
the
placental
area
accompanying
the
fetus.
Nevertheless,
this
case
is
not
typical,
as
the
embryo
usually
degenerates
early
and
is
resorbed.
As
the
vesicular
degeneration
is
not
complete,
or
does
not
occur
as
early
as
for
the
total
hydatidiform
mole,
the
picture
is
not
as
clear
as
it
is
for
the
total
mole.
Distinction
between
the
partial
hydatidiform
mole
and
the
molar
pregnancy
with
coexistent
fetus
is
important
as
they
differ
in
malignant
potential
and
karyotype.
A
partial
mole
is
considered
to
have
less
malignant
potential.
Differential
Ultrasound
Diagnosis:
At
the
beginning
of
the
pregnancy,
it
may
be
impossible
to
diagnose
any
variety
of
mole.
It
is
for
this
reason
that
the
mole
may
remain
undetected
or
be
confused
with
following
conditions:
1-
Missed
abortion:
The
picture
most
easily
confused
with
a
postmolar
GTN
is
a
spontaneous
abortion
because
what
is
seen
are
echo-refringent
and
non-homogeneous
chorionic
remains
either
located
inside
the
cavity
or
attached
to
the
uterine
wall.
Low
or
negative
hCG
levels
are
helpful
for
differentiating
these
entities.
2-
Blighted
ovum
(degenerated
ova):
It
can
be
confused
with
partial
mole.
The
main
difference
between
a
partial
mole
and
blighted
ovum
lies
in
the
perfect
interior
delimitation
of
the
embryonic
sac
in
the
latter.
The
partial
mole
usually
has
a
poorly
defined
sac
surrounded
by
a
strongly
sonolucent,
trophoblastic
ring;
it
shows
remains
of
an
embryo,
which
never
appears
in
a
blighted
ovum.
3-
Ectopic
pregnancy:
In
ectopic
pregnancy
a
decidual
picture
may
be
seen
similar
to
that
of
a
mole
because
it
shows
pseudovesicles
and
a
pseudosac.
The
combined
use
of
quantitative
determinations
of
hCG
and
vaginal
ultrasound
may
resolve
this
uncertainty.
4-
Hydropic
placental
degeneration:
It
can
be
confused
with
a
mole
accompanying
a
live
fetus.
Vesicles,
cysts,
fetal
remains,
and
an
abnormal
placenta
can
be
seen.
The
clinical
history
of
the
patient
-
including
the
possibilities
of
diabetes,
isoimmunization,
and
intragestational
infection
-
should
be
considered
carefully.
5-
Leiomyoma:
It
may
be
confused
with
a
total
hydatidiform
mole.
Leiomyomas
have
a
characteristic
whorling
and
lack
the
cystic
appearance
of
a
mole.
Shadowing
from
echodense
areas
is
found
in
degenerated
leiomyomas
6-
Retained
products
of
conception:
Low
levels
of
hCG
are
generally
found.
7-
Ovarian
tumors:
They
may
be
diagnosed
when
a
normal
uterus
is
demonstrated.
Malignant
GTN
The
malignant
variants
of
trophoblastic
disease
are
invasive
mole
and
choriocarcinoma.
Sonographic
detection
of
invasion
of
myometrium
is
an
indication
of
malignancy.
Sonography
is
part
of
the
routine
recommended
investigation
for
the
staging
of
gestational
trophoblastic
neoplasia.
The
pelvis
and
liver
are
scanned
to
establish
the
extent
of
the
pelvic
disease
and
to
search
for
metastases.
REFERENCE:
[1]
Ultrasound
in
Obstetrics
and
Gynecology.
F.A.Chervenak,
G.C.Isaacson,
S.Champbell.
1993
|